SYSTEME D’ECHOGRAPHIE PRECLINIQUE
Le V6LAB - Un système Haute Résolution, précis et compact
Le V6 LAB est un système d’échographie préclinique ultra-haute fréquence dédié à l’imagerie fonctionnelle et structurelle du petit animal.
Il combine traitement RF avancé, algorithmes d’imagerie Ultra HD et sondes haute fréquence pour fournir
des données fiables, reproductibles et exploitables en recherche.
Une architecture RF pensée pour la recherche
Accès aux signaux RF bruts, avant post-traitement
Préservation maximale de l’information (amplitude & fréquence)
Export RF sans perte pour analyses avancées
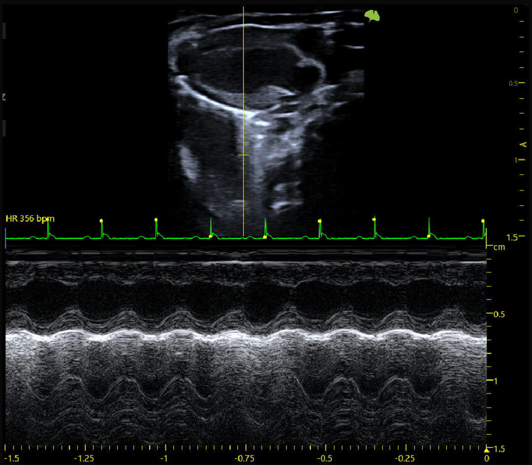
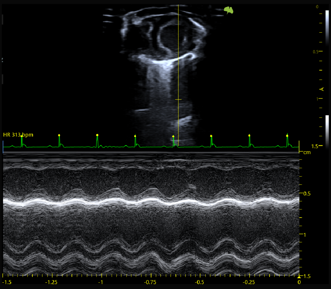
Optimisé pour la physiologie cardiovasculaire
Fonction systolique et diastolique
Hémodynamique et flux sanguins
Imagerie cardiaque haute cadence chez la souris et le rat
Polyvalence préclinique
Cardiovasculaire
Oncologie
Neurosciences
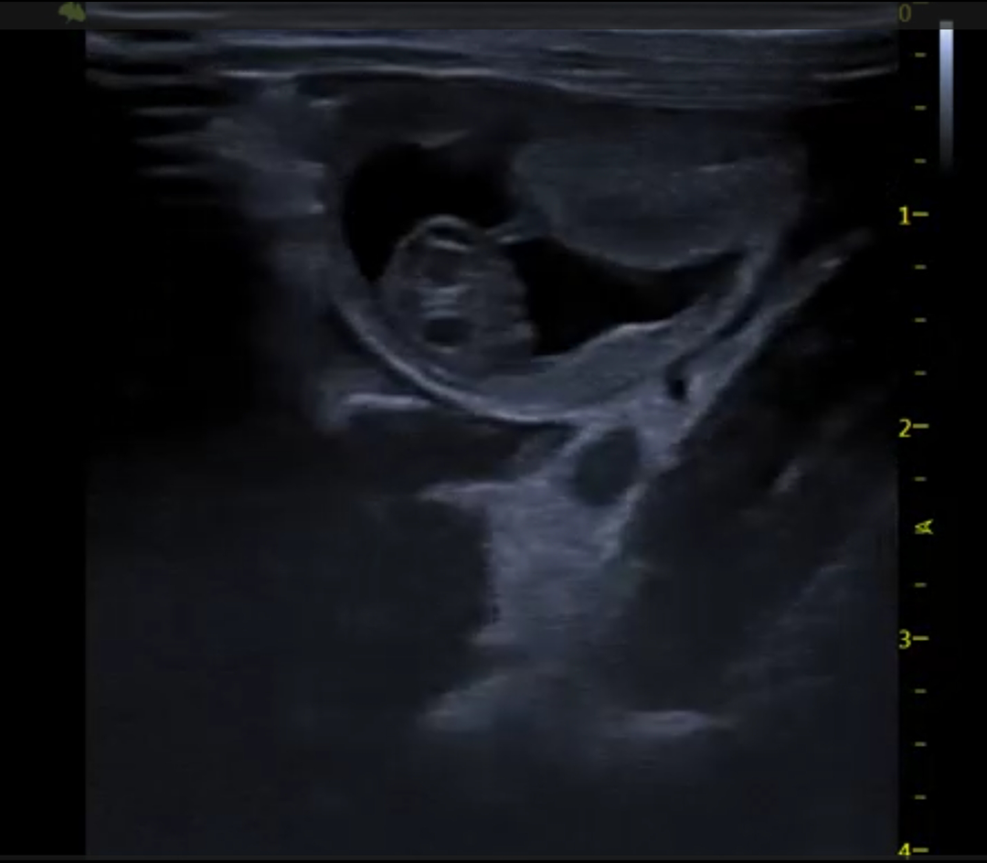
Organes abdominaux
Reproduction & développement
Compact et mobile
Ultra-léger et transportable
Utilisable en plateformes partagées
Compatible environnements BSL-2 / BSL-3
Imagerie Ultra HD
B-mode, M-mode
Doppler couleur, pulsé et puissance
Analyse du strain myocardique
Beamforming haute résolution
Sondes haute fréquence VERMONT
Transducteurs mono-cristal haute sensibilité
Excellente résolution spatiale
Large choix de fréquences selon l’application
Station d’imagerie dédiée
Positionnement précis de la sonde
Plateau animal chauffant
ECG intégré
Reproductibilité des mesures
Traitement RF orienté recherche
Imagerie ultra HD
Sonde haute fréquence VERMON
Optimisé cardiovasculaire
Station compacte, légère
Polyvalence préclinique
Algorithmes d’imagerie Ultra HD
Le V6 LAB intègre des algorithmes dédiés au traitement massif des données RF :
Imagerie B-mode haute résolution
M-mode précis pour l’analyse fonctionnelle cardiaque
Doppler couleur, Doppler pulsé et Doppler puissance
Analyse du strain myocardique
Technologie de beamforming haute résolution
Résultat : une imagerie fine, stable et quantitative, adaptée à l’étude de la fonction cardiovasculaire, du flux sanguin et des structures tissulaires complexes.
Sondes haute fréquence VERMONT (France)
Le système est compatible avec des sondes mono-cristal haute fréquence fournies par Vermon, référence mondiale en transducteurs ultrasonores.
Avantages :
Haute sensibilité et faible bruit
Résolution élevée pour l’imagerie du petit animal
Large gamme de fréquences selon l’organe et l’espèce
Excellente pénétration pour les applications cardiovasculaires et abdominales
Les modèles de sondes peuvent être sélectionnés en fonction de l’espèce étudiée (souris, rat) et du champ d’application.
-

Sonde convexe F2-5C
Espèces étudiées : grands animaux
Applications : imagerie cardiaque, imagerie de la reproduction
-

Sonde linéaire F4-12L
Espèces étudiées : chiens, singes, lapins, chats, etc.
Applications : imagerie abdominale, musculo-squelettique et des petits organes
-

Sonde sectorielle G3-10P
Espèces étudiées : chiens, singes, lapins, etc.
Applications : imagerie cardiaque
-

Débit
Spirometer
-

Réponse électrodermale
GSR Amp
-

Signaux Analogiques
de multiples dispositifs
-

Pression artérielle
Human NIBP
-

O2 / CO2
Gas Analyser
Fonctions clés :
Analyse temps réelle
Ajout de commentaires pendant l’acquisition
Détection automatique d’événements
Extraction de valeurs quantitatives
Macros configurables pour automatiser vos traitements
Modules d’analyse spécifiques (ECG, Pression, PVLoop, etc.)